
For patients with arthritis confined to one part of the knee, partial knee replacement offers a less invasive solution that preserves more natural bone and ligaments. Dr. Kamran Movassaghi, a fellowship-trained joint replacement surgeon in Pasadena, CA, has extensive experience performing partial knee replacements using robotic-assisted technology for optimal accuracy.
What are the signs I might need partial knee replacement?
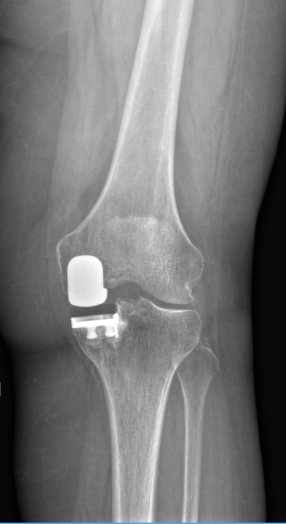
If pain and stiffness are limited to one side of the knee, often the inner (medial) or outer (lateral) compartment, and the rest of the knee remains healthy, you may be a good candidate.
What happens during surgery?
Dr. Movassaghi removes only the damaged portion of the joint and replaces it with a small metal and plastic implant, leaving the healthy bone, ligaments, and cartilage intact. Robotic assistance ensures perfect implant alignment and natural motion.
What are the benefits?
- Smaller incision and less tissue disruption
- Faster rehabilitation and shorter recovery time
- Knee feels more “natural” than a total replacement
- Reduced pain and better flexibility
